
В Кыргызской государственной медицинской академии им.И.Ахунбаева 4 июля состоялась научно-практическая конференция «Актуальные вопросы детской травматологии и ортопедии», посвященная 90-летию Касымбека Тазабекова — первого кандидата медицинских наук и основоположника детской ортопедии в Кыргызстане.
Врач травматолог-ортопед, эндопротезист Таалайбек Шералиев представил доклад «Опыт применения аддитивных технологий в клинической практике Хирургического центра «Кортекс»».
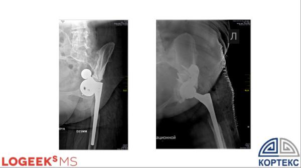
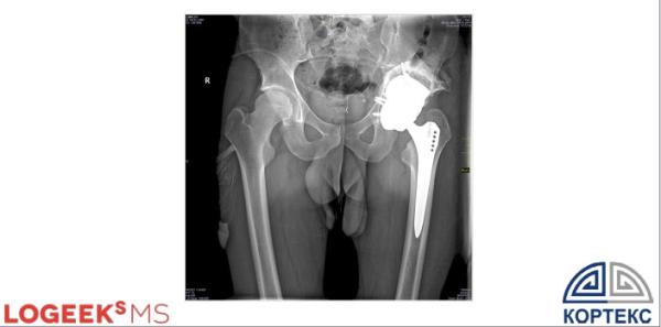
По словам докладчика, первая операция с применением индивидуальных имплантатов — эндопротезирование тазобедренного сустава — проведена в хирургическом центре «Кортекс» в ноябре 2022 года.
На май 2025 года проведено 18 операций первичного и ревизионного эндопротезирования тазобедренного сустава с замещением дефектов костной ткани индивидуальными имплантатами.
Основные этапы операции:
— Предоперационное планирование на 3D-моделях
— Моделирование индивидуальных имплантатов
— Определение объемов остеопластики
— Восстановление первоначальной анатомии костного аппарата
— Печать индивидуальных имплантатов на 3D принтере из титана методом SLS (лазерное спекание).


Формирование данных об истинной геометрии дефекта с учетом плотности костной ткани

Предоперационное планирование на фантомах
Пластиковая модель костей таза позволяет физически продублировать оперативное лечение еще до операции.

Определение хода оперативного лечения

Основные направления работы
Первичное и ревизионное эндопротезирование тазобедренного сустава — важно определить показания к использованию индивидуального имплантата.

Использование пластиковых 3D-моделей в ревизионном эндопротезирование ТБС

Ревизионное эндопротезирование ТБС с использованием индивидуальных имплантатов



Индивидуальные имплантаты позволяют:
- снятие нагрузки с ауто-трансплантат за счет фиксации в нескольких точках (седалище, надацетабулярный массив)
- фиксацию к индивидуальному аугменту

«Если «биопротез» несет нагрузку и позволяет установить металлический компонент, мы выиграли для пациента несколько лет стабильной опороспособности нижней конечности», — отмечает Шералиев.

3D-имплантаты позволяют снять нагрузку с алло-трансплантата, увеличивая вероятность его перестройки в костную ткань.

Определение объемов остеопластики с целью минимизации размеров индивидуального имплантата

Определение объемов остеопластики из головки бедренной кости

Результат установки

Ревизионное эндопротезирование как технология



Использование математического моделирования в разработке имплантатов позволяет использовать необходимый минимум металла и максимум остео-пластики, а также определить «слабые места» и запланировать максимальную фиксацию винтами.

Структура поверхности имплантатов

Структура поры индивидуального имплантат
Размер пор поверхности индивидуального имплантата 400 – 499 обеспечивают максимальное внедрение фибробластов человека на глубину до 2 мм.


НОВОСТИ В КЫРГЫЗСТАНЕ